
Nerve lateralization has become an important surgical technique in advanced implant dentistry—especially for patients with inadequate bone height in the posterior mandible. Many people who are advised against dental implants due to the risk of nerve injury can still receive treatment because of this innovative approach. Understanding how nerve lateralization works, when it’s needed, and what patients should expect can help reduce fear and support confident decision-making.
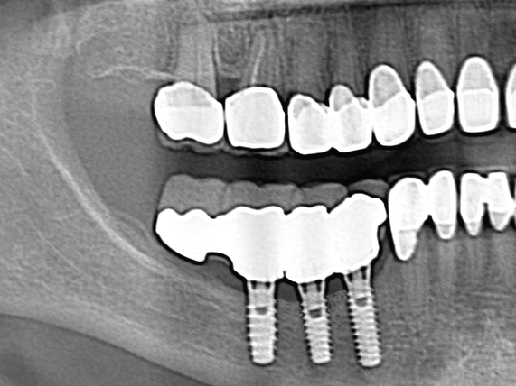
At its core, nerve lateralization involves gently repositioning the inferior alveolar nerve (IAN) to create a safe path for implant placement. This nerve runs inside the lower jawbone and supplies sensation to the chin, lower lip, and some of the lower teeth. When the jawbone in the molar area is too thin or too close to the nerve canal, placing implants can risk nerve damage. Traditionally, patients in such cases might have been advised to opt for short implants, bone grafting, or even removable dentures. However, nerve lateralization has opened the door for fully fixed implant solutions even in severely resorbed mandibles.
The procedure begins with careful planning. High-resolution CBCT scans are always the first step because they allow the surgeon to measure bone dimensions with millimeter accuracy. During surgery, a small window is made in the side of the jawbone, exposing the nerve canal. The surgeon gently mobilizes the nerve and moves it aside, creating enough vertical space for implants to be inserted in the correct position and angulation. Once implants are placed, the nerve is relocated to rest around them without tension, and the area is secured.
Nerve lateralization is often misunderstood as a high-risk surgery, but modern microsurgical tools and magnification systems have made it significantly safer. That said, like any advanced procedure, it requires experience and strong anatomical knowledge. It is not a routine implant treatment; it’s reserved for specific cases where the benefits outweigh the risks.
Patients suitable for nerve lateralization typically have severe posterior mandibular bone loss, missing molars for many years, or a history of denture wear that has accelerated bone resorption. They must also be evaluated for overall oral health, medical conditions, and healing potential. Not every patient qualifies, but those who do often find it life-changing because it allows for stable, long-lasting implants where they previously weren’t possible.
The recovery process is generally manageable. Some temporary numbness or altered sensation is expected, and surgeons always explain this beforehand. These sensory changes usually improve over weeks to months as the nerve recovers. Pain after surgery is generally mild to moderate and easily controlled with prescribed medication. Soft diet recommendations and proper oral hygiene help ensure smooth healing.
One of the biggest advantages of nerve lateralization is that it avoids the need for extensive bone grafting or nerve repositioning through more invasive techniques. It allows the placement of standard-length implants, which tend to have better long-term success rates than short implants in compromised bone. Many patients also appreciate that the procedure enables immediate or early restoration in certain cases, reducing the overall treatment time.
Long-term success depends on skilled execution, proper prosthetic planning, and ongoing oral care. Regular follow-ups with the dentist help ensure that healing is progressing, implants are integrating well, and sensation in the area is improving.
As dental technology evolves, nerve lateralization continues to be refined. Microsurgical techniques, improved implant designs, and enhanced imaging systems allow surgeons to work with greater precision and safety than ever before. For patients seeking fixed teeth but lacking sufficient lower jawbone, nerve lateralization remains one of the most reliable and scientifically grounded solutions available today.

